ZIRC Health Services
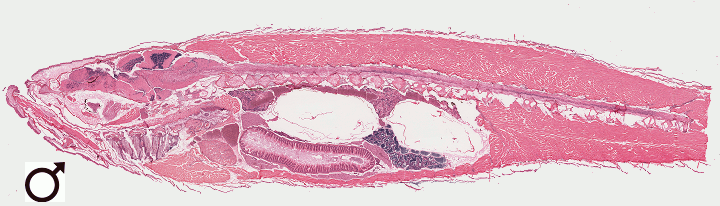
Female fish with some disease areas of interest Eye Brain Gills Heart Swim Bladder Ovary Liver Liver Gut Male fish with some disease areas of interest Brain Gills Spine Heart Swim Bladder Swim Bladder Gut Testis
Mouse over the female or male histological sections to identify organs

About Zebrafish Health Services

The Zebrafish Diagnostic and Health Service is a collaboration between the Zebrafish International Resource Center (ZIRC) and the Oregon Veterinary Diagnostic Laboratory (OVDL). We have merged our resources in order to provide a wide array of essential disease diagnostic and health management services.

Acknowledging Materials and Services
Please acknowledge the Zebrafish International Resource Center in all publications resulting from the materials and/or services we are providing to you. Thank you.